むし歯の予防と治療
Prevention and treatment
う蝕(むし歯)の治療について
むし歯とは

う蝕(むし歯)は歯の表面のエナメル質を作っているアパタイト(主として、カルシウムイオンとリン酸イオンから作られています)が、歯に付着したプラーク(最近はバイオフィルムと言います)が作り出す酸によって、溶ける出す現象をう蝕(むし歯)と言います。
通常な状態では唾液の中にはエナメル質より多いカルシウムイオンとリン酸イオンがあり、エナメル質から溶け出したカルシウムイオンとリン酸イオンは唾液から絶えず、供給されています。
しかし、唾液から供給される以上にカルシウムイオンとリン酸イオンが溶け続けるとエナメル質に穴が開き、う蝕(むし歯)になります。
COとは
アパタイトが溶け出し、穴があく前の段階をCOと呼びます。
CとはCaries (う蝕)の意味で、OはObservation(観察)の略です。
COとは治療の前の段階で、そのう蝕の状態を観察すべきはと言う意味です。
このCOの時期は、カルシウムイオンとリン酸イオンが供給できれば、正常なエナメル質に回復させることが可能です。
下の装置は、ダイアグノデントという機器で、レーザー光を利用して、う蝕(むし歯)の状態や進行状態を計ることができます。

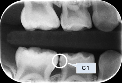
C1とは


C1とは、エナメル質に留まる約1mmの穴(実質欠損)がある場合を言います。
かつては、早期発見早期治療が望ましいとの考えで、C1も治療の対象としていた時代もありましたが、現在は、C1も定期的な観察を行っていくことが望ましいことが分かっています。
当院では、C1は可能な限り、歯を削らずに、予防処置を行った上で、注意深く観察していきます。
下のレントゲンはバイトウィング法(咬翼法)という撮影法で、隣接面(歯と歯の間)のう蝕(むし歯)をチェックする方法で、C1のう蝕(むし歯)を示しています。
しかし、定期的な観察を行わないとすぐに、次のステップC2(象牙質まで進行した状態),C3(歯髄まで進行した状態)へ進むことも知っておいてください。
C2とは


C2とは、象牙質(エナメル質の内側にあり、神経細胞が延びてきている組織)に移行した状態で、痛みを伴うようになるので、治療の対象となります。
バイトウィング法(咬翼法)でも、エナメル質から象牙質へ移行している状態を診ることができます。
C3とは

C3とは、歯髄(骨の骨髄に相当)まで、進行した状態で、歯髄をとる治療になります。
できるだけ、C2の段階までに、治療を行いたいものです。
フッ化物配合
歯磨剤について
Toothpaste
ぜひ、ご自分がお使いの歯磨き剤のフッ化物濃度を探してみてください。なお、当院で取り扱っております歯磨き剤はライオンのCheck-up(950ppm)になります。
フッ化物配合歯磨剤の種類
- フッ化物濃度:薬用歯みがき類製造販売承認基準によりフッ化物イオン濃度は1,500ppm以下に定められており、1,450ppm程度までのものが販売されています。子ども用としては950ppm・500ppm・100ppmが販売されています。
- 剤型:ペースト状が一般的です。子ども用に研磨成分を含まないジェル状(500ppm)・泡状(950ppm)・液体(スプレー式:100ppm)があり、これらは吐き出しのできない低年齢児に向いています。
フッ化物配合歯磨剤の予防効果
世界的にも数多くの調査があり、報告数が最も多い予防率は30~40%です。
また、成人・高齢者の根面むし歯に対して67%の予防効果が報告されています。
この歯磨剤は他のフッ化物応用とかさねて使う機会が多くなります。
フッ化物歯面塗布との複合応用によって、歯面塗布のみの群に比べ乳歯むし歯の減少率65%が認められています。
効果的な使用方法
| 歯の萌出~2歳 | 使用量:切った爪程度の少量・歯磨剤のフッ化物濃度:500ppm(泡状歯磨剤ならば1,000ppm) |
| 3歳~5歳 | 使用量:5mm以下・500ppm(泡状またはMFP歯磨剤ならば1,000ppm) |
| 6歳~14歳 | 使用量:1cm程度・1,000ppm(泡状またはMFP歯磨剤ならば1,000ppm) |
| 15歳以上 | 使用量:2cm程度・1,000ppm~1,500ppm |
フッ化物配合歯磨剤の予防効果を十分に発揮させるためには、適正な量(上記表)の歯磨剤を用いて、歯磨き後のうがいは10~15mlの水で1回うがいをします。
その後1~2時間は飲食を控えます。特に就寝前に使うと効果的です。
また歯磨剤をつけないブラッシング(から磨き)を好む人は、から磨きを行った後にフッ化物配合歯磨剤をつけて歯全体に行き渡らせる程度に磨く方法が適しています(ダブルブラッシング)。
幼児におけるフッ化物配合歯磨剤使用後の口腔内残留フッ化物量
幼児がひとりで磨く場合のフッ化物配合歯磨剤使用後の口腔内フッ化物残留量(率)は、3~5歳児の調査では0.06mg(15.3%)であり、1日に3回使用したとしても0.18mgで有害な影響はありません。
低年齢児におけるフッ化物配合歯磨剤の利用
歯のフッ素症発現のリスクは幼児期(6歳以下)に集中します。
特に審美的に問題となる上顎中切歯が歯のフッ素症にかかりやすい臨界期は1歳から3歳の間です。
この時期にフッ化物の摂取が過量にならないように注意が必要です。
フッ化物の全身応用が行われている地域で、フッ化物配合歯磨剤を食べたり、毎回誤って飲み込んだりする場合には、過量のフッ化物摂取になる場合があります。
全身応用が普及している国では、幼児に対して、使用量・歯磨き後のすすぎ方・口腔内残留量などに細心の注意が払われています。
日本では全身応用が実施されていないので過度な心配は不要ですが、吐き出しのできない1歳から3歳未満児には、ジェル状(500ppm)・泡状・液体(スプレー式)のものの使用をお薦めします。
当院で取り扱っております歯磨き剤
初めて歯の治療する
お友達へ
beginner

歯の治療がどういう流れで、どういう道具やお薬を使って行うか、分かりやすく書いた絵本になります。
治療をスムーズに行うために、お子様と一緒に読んできてください。
下記からダウンロードできます。

お問い合わせ
お気軽にお問い合わせ・ご予約ください。
