矯正症例紹介
Case introduction
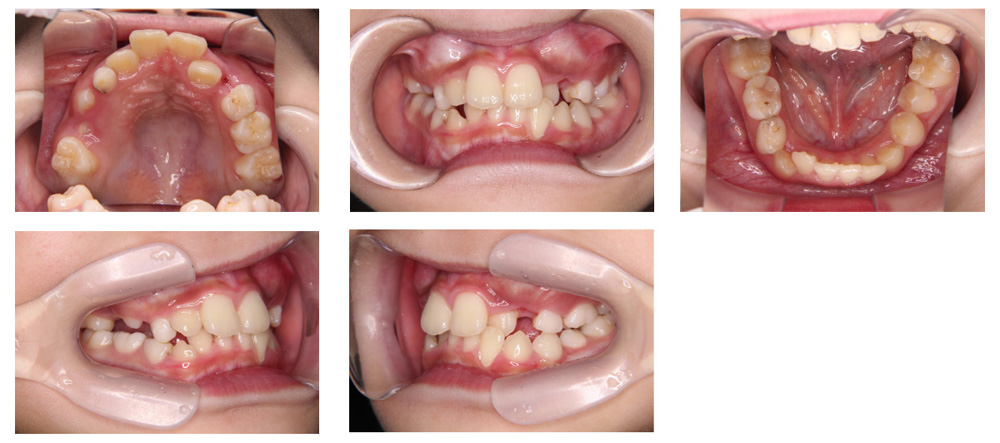
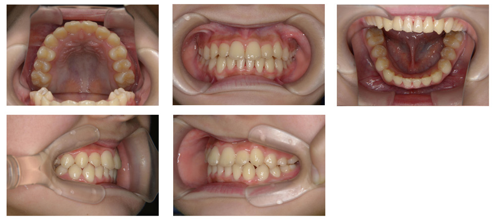
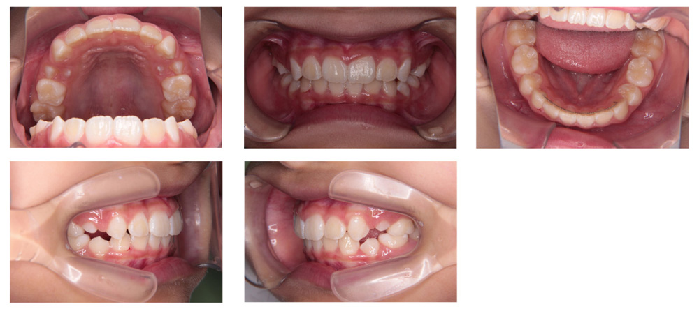
矯正症例紹介 NO1

詳細画像を見る
Before

After

| 治療内容 | マウスピース型矯正装置 |
| 費用 | 588,500円 |
| 抜歯の有無 | 無 |
| 治療期間 | 1年11ヶ月 |
| コメント | 重度の叢生でしたが、約2年間で綺麗な咬合を獲得できました。 |
| リスクおよびデメリット | 保定装置を使用しないと、後戻りのリスクがあります。 歯根吸収のリスクがあります。 Ⅱ期治療(大人の矯正が必要になる可能性があります。) |
| 初診時年齢 | 10歳7ヶ月 |
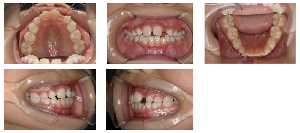
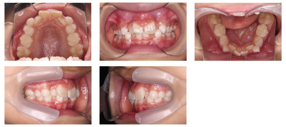
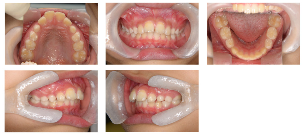
矯正症例紹介 NO2

詳細画像を見る
Before

After

| 治療内容 | マウスピース型矯正装置 |
| 費用 | 517,000円 |
| 抜歯の有無 | 無 |
| 治療期間 | 1年8ヶ月 |
| コメント | 非常に歯列が狭く、永久歯の生える場所がありませんでしたが、拡大することにより整列できました。 |
| リスクおよびデメリット | 保定装置を使用しないと、後戻りのリスクがあります。 歯根吸収のリスクがあります。 Ⅱ期治療(大人の矯正が必要になる可能性があります。) |
| 初診時年齢 | 7歳11ヶ月 |
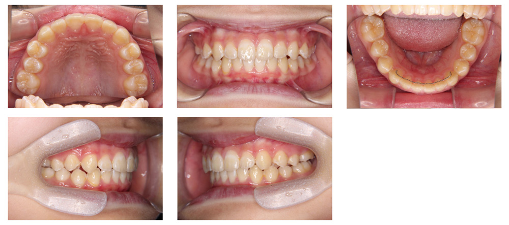
矯正症例紹介 NO3

詳細画像を見る
Before

After

| 治療内容 | マウスピース型矯正装置 |
| 費用 | 602,800円 |
| 抜歯の有無 | 無 |
| 治療期間 | 2年1ヶ月 |
| コメント | 上下の前歯の凸凹(叢生)の量が多かった症例ですが、綺麗に整列できました。 |
| リスクおよびデメリット | 保定装置を使用しないと、後戻りのリスクがあります。 歯根吸収のリスクがあります。 Ⅱ期治療(大人の矯正が必要となる可能性があります。) |
| 初診時年齢 | 7歳7ヶ月 |
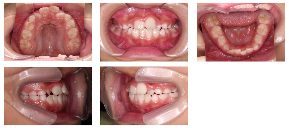
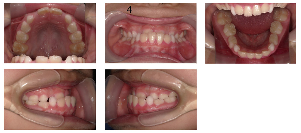
矯正症例紹介 NO4

詳細画像を見る
Before

After

| 治療内容 | マウスピース型矯正装置 |
| 費用 | 599,500円 |
| 抜歯の有無 | 無 |
| 治療期間 | 2年 |
| コメント | かなり大きな出っ歯(上顎前突)でしたが、綺麗に整列できました。 |
| リスクおよびデメリット | 保定装置を使用しないと、後戻りのリスクがあります。 歯根吸収のリスクがあります。 Ⅱ期治療(大人の矯正が必要となる可能性があります。) |
| 初診時年齢 | 8歳7ヶ月 |
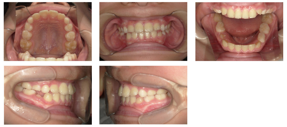
矯正症例紹介 NO5

詳細画像を見る
Before

After

| 治療内容 | マウスピース型矯正装置 |
| 費用 | 605,000円 |
| 抜歯の有無 | 無 |
| 治療期間 | 2年4ヶ月 |
| コメント | 上顎歯列が狭く、上下のかみ合わせが逆になっていましたが、綺麗に整列することができました。 |
| リスクおよびデメリット | 保定装置を使用しないと、後戻りのリスクがあります。 歯根吸収のリスクがあります。 Ⅱ期治療(大人の矯正が必要となる可能性があります。) |
| 初診時年齢 | 7歳10ヶ月 |
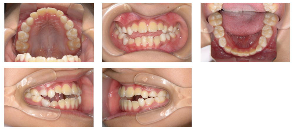
矯正症例紹介 NO6

詳細画像を見る
Before

After

| 治療内容 | マウスピース型矯正装置 |
| 費用 | 555,500円 |
| 抜歯の有無 | 無 |
| 治療期間 | 1年6ヶ月 |
| コメント | かなり、シビアな反対咬合でしたが、1年半で綺麗に整列することができました。 |
| リスクおよびデメリット | 歯根吸収、第二次成長により反対咬合の再発の可能性があります。 Ⅱ期治療(大人の矯正が必要となる可能性があります。) |
| 初診時年齢 | 8歳7ヶ月 |
矯正症例紹介 NO7

詳細画像を見る
Before

After

| 治療内容 | マウスピース型矯正装置 |
| 費用 | 581,500円 |
| 抜歯の有無 | 無 |
| 治療期間 | 1年11ヶ月 |
| コメント | 前歯が全く咬んでいませんでしたが、前歯で咬むことができるようになりました。 |
| リスクおよびデメリット | 保定装置を使用しないと、後戻りのリスクがあります。 歯根吸収のリスクがあります。 Ⅱ期治療(大人の矯正が必要となる可能性があります。) |
| 初診時年齢 | 10歳6ヶ月 |

お問い合わせ
お気軽にお問い合わせ・ご予約ください。
